Cosmetic Dentistry available to patients across London
From £13.64 per monthHighly skilled cosmetic dentist Dr Neera Maini combines stunning artistry with the highest technical accuracy to bring patients world-class cosmetic dentistry. Each treatment is 100% bespoke to individual needs.
Get in touch
Highly skilled cosmetic dentist Dr Neera Maini combines stunning artistry with the highest technical accuracy to bring patients world-class cosmetic dentistry. Each treatment is 100% bespoke to individual needs.
Dr Neera Maini has undertaken extensive training in every area of cosmetic dentistry and regularly visits the US and Europe to stay up-to-date with the latest techniques and technologies.
This training enables her to deliver treatment options comprised of the most modern and effective methods available anywhere in the world.
Cosmetic dentistry describes any treatment which improves dental aesthetics. Treatments include teeth whitening to create a brighter smile, more extensive work like porcelain veneers, or a full smile makeover incorporating any number of treatments for a full-on dazzling new smile.
Get in touchTeeth Straightening
There are many options for straightening crooked teeth, closing gaps and improving your smile. The great news is, you no longer have to rely on unsightly metal braces that take years to work.
Cosmetic Bonding
Cosmetic bonding is a strong and easily moldable tooth-coloured filler that sculpts and re-shapes teeth. The treatment is used for minor problems like chips, cracks and filling replacements. It’s also useful for filling the gaps between teeth.
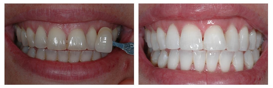
Veneers
Expertly crafted in UK and US laboratories, our porcelain and Durathin veneers fit precisely over your teeth. Veneers dramatically improve tooth colour and shape, and can be used to address a variety of issues.
Guaranteed Quality - Our Commitment
We’re proud of the work we carry out, and we stake our reputation on providing the highest quality materials and craftsmanship to every single patient. That’s why all of our cosmetic treatments come with a three-year guarantee.
Watch Our Happy Patient Videos
PATIENTS ARE TALKING ABOUT AQUA DENTAL CLINIC
Hear what they’re saying belowI have nothing but great things to say about Neera and Anoop and their extremely friendly and warming reception team. Being a dentist i was naturally very selective over whom i approached to have some cosmetic work completed to my teeth. After having my work completed, i knew i had made the right decision. I am delighted with the work Anoop has completed and extremely grateful for his expertise
Just completed my Invisalign treatment with Dr Neera Maini which took 9 months . She was excellent ,the treatment went smoothly and my teeth look fab . So pleased with the results . Annie the receptionist is so lovely and friendly and very accommodating . Great dentist
Went to Aqua Dental Clinic today after breaking a tooth whilst eating. The clinic is very clean , modern and the receptionist Alla was very friendly . The dentist Dr Maini saw me , took an xray and went to great depths to explain my problem and what the different options were with all the costs involved and gave me a written estimate. I was happy to repair the tooth with a white filling, the whole procedure was very gentle and I didn't even feel the injection !! The filling looks great and feels very comfortable. Thank you to the staff at Aqua Dental Clinic for a great experience.
Aqua Dental provides the most professional and personable practice. Top class dental care. Following extensive research I chose this practice for orthodontics and general restoration. I am completely satisfied with every aspect of the service, the care and communication. Fabulous team in comfortable environment with state of the art resources.
Trust us to make you smile!
To arrange a consultation with our cosmetic dentists and take the first step to transform your smile, call Aqua Dental now or get in touch through our contact form.
